Rochester Crowns and Bridges
Porcelain Crowns
Applied Procedures: Porcelain Crowns
P15311_ss7047bs_t P15311_ss7047ys_t
Before Photo After Photo
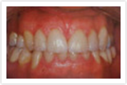
Applied Procedures: Porcelain Crowns
P15311_ss7048bs_t P15311_ss7048ys_t
Before Photo After Photo
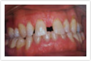
Applied Procedures: Porcelain Crowns, Dental Bridges
P15311_ss7049bs_t P15311_ss7049ys_t
Before Photo After Photo